Nướu là gì? Đó là câu hỏi mà nhiều người thường bỏ qua hoặc chưa thật sự quan tâm đúng mức. Thực tế, nướu đóng vai trò vô cùng quan trọng trong hệ sinh thái răng miệng của chúng ta, ảnh hưởng trực tiếp đến sức khỏe toàn diện của hàm răng và khả năng tiêu hóa. Hiểu rõ về cấu trúc, chức năng, các vấn đề thường gặp và cách chăm sóc sẽ giúp bạn duy trì hàm răng khỏe mạnh, tránh xa các bệnh lý đáng tiếc.
Trong bài viết này, chúng ta sẽ cùng khám phá sâu về “nướu là gì”, từ đó nâng cao ý thức phòng tránh các tác nhân gây bệnh, đồng thời đưa ra những phương pháp chăm sóc phù hợp và hiệu quả nhất.
Nướu (Lợi) Là Gì? Định Nghĩa và Chức Năng Quan Trọng

Nướu, còn gọi là lợi, là lớp mô mềm bao phủ phần chân răng và nằm dọc theo cung hàm. Được cấu tạo chủ yếu từ mô liên kết, vi mạch và tế bào biểu mô, nướu giữ chân răng vững chắc trong xương hàm, đồng thời bảo vệ các mô và cấu trúc bên dưới khỏi vi khuẩn và các tác nhân gây hại từ môi trường bên ngoài. Khi hiểu rõ nướu là gì, rõ ràng ta thấy rằng nó không chỉ đơn thuần là bộ phận che phủ mà còn đóng vai trò tử tế trong việc giữ gìn sức khỏe răng miệng toàn diện.
Chức năng chính của nướu không chỉ giới hạn trong việc che chắn chân răng. Nó còn giúp duy trì cấu trúc hàm ổn định, ngăn ngừa vi khuẩn xâm nhập sâu vào bên trong các mô nha chu, đồng thời hỗ trợ quá trình hồi phục sau khi điều trị các bệnh lý răng miệng. Do đó, sức khỏe của nướu liên quan mật thiết đến khả năng duy trì hàm răng chắc khỏe và khả năng ăn nhai bình thường.
Cấu Trúc Giải Phẫu của Nướu: Các Thành Phần và Mối Liên Hệ

Cấu trúc của nướu khá phức tạp và tinh vi, bao gồm nhiều thành phần tạo nên một hệ thống bảo vệ vững chắc. Phần trên cùng là lớp biểu mô mỏng, có khả năng chịu đựng tốt các tác động cơ học cũng như các tác nhân gây bệnh từ môi trường. Dưới lớp biểu mô là mô liên kết lưới dày đặc, chứa các mạch máu giúp nuôi dưỡng và duy trì hoạt động của nướu.
Quan trọng hơn, “nướu là gì” còn phản ánh mối liên hệ mật thiết giữa các thành phần này và các cấu trúc xung quanh như chân răng, xương hàm và mô nha chu. Khi các thành phần phối hợp nhịp nhàng, nướu có khả năng chống đỡ các tác nhân gây bệnh, giữ gìn độ bám dính của chân răng và hạn chế tình trạng mất răng. Thấu hiểu cấu trúc này giúp chúng ta có cách chăm sóc phù hợp, chú ý đến từng chi tiết nhỏ của mô nướu.
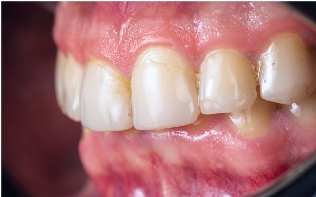
Các Vấn Đề Thường Gặp ở Nướu: Viêm Nướu, Viêm Nha Chu và Biện Pháp Điều Trị

Các vấn đề về nướu phổ biến nhất chính là viêm nướu và viêm nha chu, đều xuất phát từ việc vệ sinh răng miệng không đúng cách hoặc do các yếu tố phát sinh bệnh lý khác kích hoạt. Viêm nướu thể hiện rõ rệt qua các triệu chứng như sưng tấy, đỏ rực, chảy máu chân răng khi đánh răng hoặc dùng chỉ nha khoa. Nếu không điều trị kịp thời, bệnh có thể tiến triển thành viêm nha chu – tình trạng nghiêm trọng hơn, khiến xương hàm và các mô liên kết bị phá hủy, mất răng là điều không thể tránh khỏi.
Trong quá trình điều trị, bác sĩ thường kết hợp giữa việc cạo vôi răng, làm sạch mảng bám, dùng thuốc kháng sinh, và trong những trường hợp nặng, có thể cần can thiệp phẫu thuật để phục hồi mô nha chu bị tổn thương. Đặc biệt, việc chăm sóc tại nhà như chải răng đúng cách, sử dụng chỉ nha khoa, và duy trì thói quen khám nha sĩ định kỳ đóng vai trò then chốt trong việc phòng bệnh cũng như kiểm soát các vấn đề đã mắc phải.
Nguyên Nhân Gây Bệnh Nướu Răng và Yếu Tố Rủi Ro Cần Lưu Ý

Bệnh nướu không tự nhiên hình thành mà bắt nguồn từ rất nhiều nguyên nhân khác nhau. Thứ nhất, là do vệ sinh răng miệng kém, tạo điều kiện thuận lợi cho vi khuẩn tích tụ, hình thành mảng bám và cao răng. Thứ hai, thói quen hút thuốc lá, chế độ ăn uống không hợp lý, hoặc hệ miễn dịch suy yếu cũng góp phần làm tăng nguy cơ mắc các bệnh lý về nướu.
Ngoài ra, các yếu tố nguy cơ khác không thể bỏ qua như-di truyền, tuổi tác, hoặc tác dụng phụ của một số loại thuốc. Thói quen thiếu quan tâm đến sức khỏe răng miệng còn khiến bệnh tiến triển âm thầm theo thời gian, dễ dẫn đến mất răng, tiêu xương hàm, ảnh hưởng đến ngoại hình và chức năng ăn nhai. Nhận biết các yếu tố rủi ro giúp chủ động phòng tránh và duy trì sức khỏe răng miệng tốt hơn.
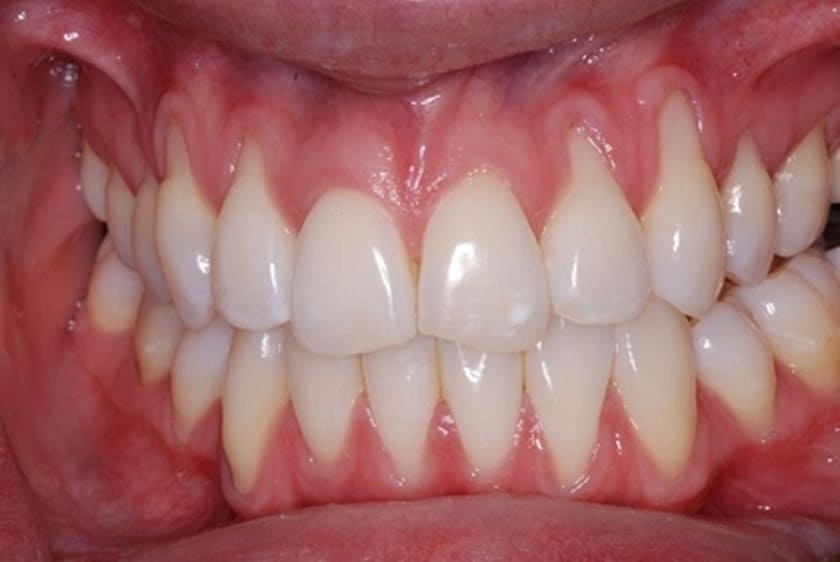
Chăm Sóc Nướu Đúng Cách để Duy Trì Sức Khỏe Răng Miệng Tối Ưu
Chăm sóc nướu đúng cách không chỉ giúp phòng tránh các bệnh lý nhiễm trùng, mà còn giữ cho toàn bộ hệ răng khỏe mạnh, bền đẹp theo thời gian. Bí quyết đầu tiên chính là chải răng đúng kỹ thuật, ít nhất hai lần mỗi ngày bằng bàn chải mềm, có lông phù hợp với kích thước và hình dạng răng của mỗi người. Sử dụng kem đánh răng chứa florua giúp tăng cường độ cứng của men răng và giảm vi khuẩn có hại.
Bên cạnh đó, dùng chỉ nha khoa hoặc các dụng cụ làm sạch kẽ răng giúp loại bỏ mảng bám, hạn chế sự phát triển của cao răng trong các khe răng. Thói quen kiểm tra, khám định kỳ tại nha sĩ hai lần mỗi năm là bước cần thiết để phát hiện sớm các vấn đề về nướu và xử lý kịp thời. Khi chăm sóc đúng cách, hệ miễn dịch của răng miệng sẽ duy trì được sức đề kháng và khả năng phục hồi tự nhiên tốt nhất.
Phương Pháp Phòng Ngừa Bệnh Nướu và Tầm Quan Trọng của Việc Khám Răng Định Kỳ
Phòng bệnh hơn chữa bệnh, đó chính là chân lý trong chăm sóc sức khỏe răng miệng đặc biệt liên quan đến nướu. Các biện pháp phòng ngừa bao gồm duy trì thói quen vệ sinh răng miệng đều đặn, sử dụng các sản phẩm phù hợp và hạn chế thực phẩm chứa đường, axit quá cao. Ngoài ra, việc bổ sung chất dinh dưỡng, vitamin C, D, và khoáng chất thiết yếu góp phần nâng cao thể trạng mô nướu, giúp chúng hồi phục nhanh hơn khi bị tổn thương.
Không thể bỏ qua tầm quan trọng của các cuộc thăm khám nha sĩ định kỳ. Các chuyên gia sẽ kiểm tra, làm sạch mảng bám, theo dõi các dấu hiệu bất thường, phát hiện sớm các bệnh lý để can thiệp kịp thời. Đây chính là chìa khóa để giữ cho nướu luôn trong trạng thái khỏe mạnh, tránh xa các nguy cơ mất răng hay hậu quả nghiêm trọng khác do bệnh lý răng miệng gây ra.
Kết luận
Hiểu rõ nướu là gì và tầm quan trọng của nó sẽ giúp mỗi chúng ta tự ý thức được việc chăm sóc, bảo vệ sức khỏe răng miệng đúng cách. Nướu không chỉ đảm nhận vai trò bảo vệ chân răng khỏi vi khuẩn mà còn góp phần giữ cho cấu trúc xương hàm ổn định, duy trì nét đẹp tự nhiên. Các bệnh lý về nướu nếu không phát hiện và điều trị kịp thời có thể dẫn đến hậu quả nghiêm trọng như mất răng, tiêu xương và nhiều biến chứng khác. Chính vì thế, việc phòng ngừa từ sớm bằng cách vệ sinh răng miệng đúng cách, duy trì chế độ ăn hợp lý, khám nha sĩ định kỳ và tránh các yếu tố nguy cơ là cần thiết để giữ gìn sức khỏe răng miệng tối ưu.
Hãy chăm sóc nướu của bạn như chính sức khỏe của chính mình, vì mỗi ngày trôi qua đều là một cơ hội để bảo vệ và gìn giữ hàm răng khỏe mạnh, đẹp tự nhiên. Sức khỏe răng miệng là nền tảng của sức khỏe toàn diện, và nướu chính là trung tâm của sự cân bằng đó.