Cao răng đen không chỉ là vấn đề thẩm mỹ mà còn tiềm ẩn nhiều nguy cơ về sức khỏe răng miệng nếu không được xử lý kịp thời. Hiểu rõ về nguồn gốc, dấu hiệu nhận biết, hậu quả cũng như cách phòng ngừa là điều cần thiết để duy trì hàm răng khỏe mạnh, tự tin mỗi ngày. Các thông tin trên sẽ được Nha khoa Hải Lê chia sẻ chi tiết ngay sau đây.
Cao răng đen là gì và nguyên nhân hình thành
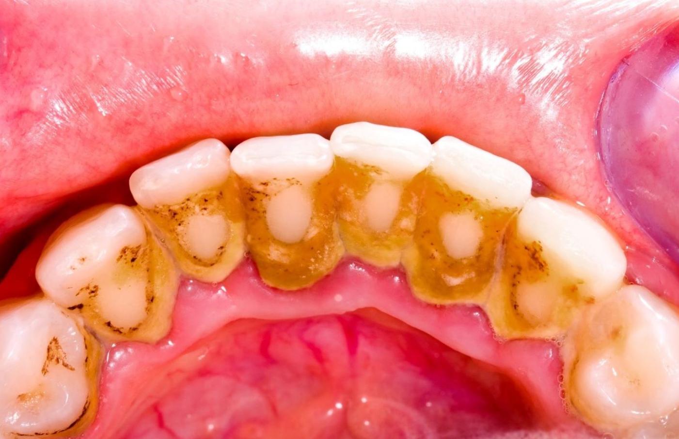
Cao răng đen là một dạng tích tụ cặn bã sinh học trên bề mặt răng, đặc trưng bởi màu sắc sẫm màu hoặc đen tuyền. Quá trình hình thành của cao răng bắt đầu từ mảng bám sinh học, một hỗn hợp gồm các vi khuẩn, thức ăn thừa và các vụn bẩn không được làm sạch kỹ lưỡng. Khi không được loại bỏ qua các bước chăm sóc răng miệng đều đặn, mảng bám sẽ cứng lại thành cao răng, thường xuất hiện ở các vùng khe rãnh, chân răng hoặc kẽ giữa các răng.
Nguyên nhân gây ra cao răng đen phổ biến nhất bắt nguồn từ thói quen vệ sinh răng miệng không đúng cách, kém sạch sẽ hoặc ăn uống nhiều thực phẩm chứa hợp chất sắt, muối hoặc chất tạo màu đậm. Ngoài ra, những người hút thuốc lá, thường xuyên sử dụng đồ uống có ga, cà phê, rượu vang đỏ cũng dễ hình thành cao răng đen do các hợp chất này làm bám dính, gây ố vàng hoặc đen bề mặt răng một cách dễ dàng. Những yếu tố này đều góp phần làm tăng khả năng sinh ra cao răng đen, ảnh hưởng trực tiếp đến sức khỏe răng và thẩm mỹ tổng thể.
Dấu hiệu nhận biết
Dấu hiệu dễ nhận biết nhất của cao răng đen chính là sự xuất hiện của các mảng bám sẫm màu, đặc biệt ở phần chân răng hoặc mặt trong của răng hàm. Khi quan sát trong gương, bạn có thể thấy các vệt đen hoặc nâu đậm, gây mất thẩm mỹ, khó khăn trong việc ăn nhai hoặc gây ê buốt nhẹ. Ngoài ra, vùng nướu xung quanh cao răng thường sưng đỏ, chảy máu khi chải răng hay dùng chỉ nha khoa, dễ dẫn đến viêm nướu hoặc viêm nha chu nếu không xử lý đúng cách.
Phân biệt cao răng đen với các bệnh lý khác như viêm nướu, sâu răng hay vi khuẩn gây mùi hôi lại cực kỳ quan trọng. Trong khi viêm nướu thường đi kèm với sưng tấy và chảy máu chân răng, thì cao răng đen là những mảng bám cứng chắc, bám chặt vào bề mặt răng và nướu, có thể nhìn thấy rõ bằng mắt thường. Còn sâu răng thường biểu hiện bằng lỗ thủng hoặc sưng tấy do tổn thương mô răng, khác biệt rõ rệt với các mảng bám có màu đen. Vì vậy, việc phân biệt chính xác giúp người bệnh có phương pháp xử lý phù hợp, hạn chế tối đa rủi ro cho sức khỏe răng miệng.

Xem ngay: Lấy cao răng có đau không? Có ảnh hưởng đến sức khỏe không?
Tác hại của cao răng đen khi không điều trị kịp thời
Nếu không xử lý cao răng đen sớm, hậu quả khiến nhiều người không ngờ tới chính là nguy cơ cao dẫn đến các bệnh lý răng miệng nghiêm trọng. Cao răng đen khi tồn tại lâu ngày sẽ làm tăng khả năng vi khuẩn cư trú, gây viêm nhiễm nướu, tụt nướu và hoạt động phá hủy các mô nâng đỡ răng. Kéo theo đó, răng dễ lung lay, mất răng sớm làm ảnh hưởng lớn đến khả năng nhai cũng như thẩm mỹ khuôn mặt.
Hơn nữa, các chất bẩn và vi khuẩn tích tụ trong cao răng còn phát sinh mùi hôi miệng khó chịu, gây mất tự tin trong giao tiếp hàng ngày. Nguy hiểm hơn, các hợp chất sinh ra trong quá trình vi khuẩn hoạt động còn có thể xâm nhập vào máu, tăng nguy cơ mắc các bệnh tim mạch, tiểu đường hay các bệnh về hệ thần kinh. Thậm chí, trong những trường hợp nặng, cao răng đen còn tạo điều kiện cho vi khuẩn đi sâu vào xương hàm, gây nhiễm trùng, tiêu xương và buộc phải can thiệp phẫu thuật phức tạp. Chính vì thế, việc phát hiện và điều trị cao răng đen kịp thời là yếu tố then chốt để bảo vệ sức khỏe răng miệng cũng như toàn thân.
Loại bỏ cao răng màu đen hiệu quả tại nha khoa
Hiện nay, phương pháp phổ biến và hiệu quả nhất để loại bỏ cao răng đen chính là dịch vụ cạo vôi răng tại nha khoa bằng dụng cụ siêu âm hoặc bằng tay. Công nghệ cạo vôi siêu âm sử dụng sóng siêu âm để làm mềm và tách cao răng ra khỏi bề mặt răng một cách nhẹ nhàng, nhanh chóng, hạn chế tổn thương mô răng hay nướu. Quá trình này thường diễn ra trong vòng từ 30 đến 45 phút, phù hợp cho mọi độ tuổi, kể cả những người có tình trạng nướu nhạy cảm.
Ngoài ra, sau quá trình cạo vôi, nha sĩ còn có thể tiến hành đánh bóng răng để làm mịn bề mặt, ngăn chặn sự hình thành của các mảng bám mới. Trong trường hợp cao răng quá cứng hoặc đã ăn sâu vào các kẽ răng, có thể cần tới dịch vụ lấy cao răng bằng dụng cụ thủ công hoặc kết hợp với điều trị nha khoa chuyên sâu hơn như trám răng hoặc điều trị viêm nướu. Để duy trì kết quả lâu dài, được kiểm tra định kỳ tại nha khoa là cách tốt nhất giúp phòng ngừa sự tái phát cao răng đen, duy trì hàm răng sáng khỏe.

Cách phòng ngừa cao răng đen tái phát
Phòng ngừa cao răng đen bắt nguồn từ thói quen chăm sóc răng miệng đúng cách hàng ngày. Chải răng ít nhất hai lần mỗi ngày với kem đánh răng chứa fluoride, sử dụng bàn chải mềm để làm sạch kỹ các khu vực khó tiếp cận như kẽ răng, mặt trong của răng hàm và chân răng là cách đơn giản nhưng hiệu quả để hạn chế tích tụ mảng bám. Ngoài ra, dùng chỉ nha khoa hoặc dụng cụ tăm nước để làm sạch các khe răng giúp giảm thiểu nguy cơ cao răng hình thành.
Bên cạnh đó, chế độ ăn uống khoa học là yếu tố quan trọng không kém. Giảm thiểu tiêu thụ thực phẩm chứa hợp chất sắt hay các phụ gia tạo màu đậm, đồng thời hạn chế dùng đồ uống có ga hay chứa cafein quá nhiều. Thường xuyên kiểm tra răng miệng định kỳ tại nha khoa, kết hợp với các dịch vụ làm sạch chuyên nghiệp, giúp loại bỏ cao răng trước khi chúng chuyển sang dạng đen và gây hiệu ứng tiêu cực. Nên chú ý đến việc giữ gìn thói quen sinh hoạt lành mạnh, tạo điều kiện tốt nhất để duy trì hàm răng chắc khỏe, tươi sáng trong thời gian dài.
Xem thêm: Cạo vôi răng là gì? Vì sao phải cạo vôi răng định kỳ
Cách chăm sóc răng miệng tại nhà
Chế độ chăm sóc răng miệng tại nhà cần đặt lên hàng đầu trong việc phòng ngừa cao răng đen bám trụ dai dẳng. Điều đầu tiên là việc chải răng đúng kỹ thuật, sử dụng bàn chải mềm, thay mới định kỳ mỗi 3 tháng để tránh vi khuẩn tích tụ gây mảng bám nhiều hơn. Sử dụng kem đánh răng chứa fluoride không những giúp phòng ngừa sâu răng mà còn hỗ trợ làm giảm các mảng bám cứng đầu, qua đó hạn chế hình thành cao răng đen.
Thói quen duy trì sử dụng chỉ nha khoa, nước xúc miệng hoặc máy tăm nước là những biện pháp tối ưu để làm sạch các kẽ răng, vùng chân răng không thể chải sạch bằng bàn chải thông thường. Hạn chế thực phẩm chứa màu nhân tạo hay axit quy mô lớn, đồng thời bổ sung đủ nước hàng ngày để giữ cân bằng môi trường miệng, hạn chế sự phát triển của vi khuẩn hình thành cao răng đen. Tăng cường các loại trái cây chứa vitamin C, chất chống oxy hóa để bảo vệ mô nướu, giúp duy trì sự khỏe mạnh của hệ thống răng – nướu.
Cao răng đen không chỉ gây mất thẩm mỹ mà còn tiềm ẩn nhiều nguy cơ ảnh hưởng nghiêm trọng đến sức khỏe răng miệng. Hiểu rõ nguyên nhân, các dấu hiệu nhận biết, hậu quả và biện pháp phòng tránh là cách tốt nhất giúp bạn kiểm soát tình trạng này hiệu quả. Việc duy trì vệ sinh răng miệng đúng cách mỗi ngày, thực hiện kiểm tra nha khoa định kỳ và áp dụng các chế độ chăm sóc phù hợp sẽ giúp bạn duy trì hàm răng chắc khỏe, sáng bóng, tự tin hơn trong cuộc sống. Đừng để cao răng đen kéo dài, hãy hành động ngay từ hôm nay để bảo vệ nụ cười của mình!
